Table of Contents
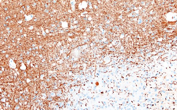
Washington University Experience | VASCULAR | Vasculitis - PACNS | 17H1 Vasculitis (Case 17) NF 20x 1
17H1-3 The microinfarct shown in image #17B1 is demonstrated with NF immunolocalization showing axon loss and spheroid formation. (NF IHC)
