Table of Contents
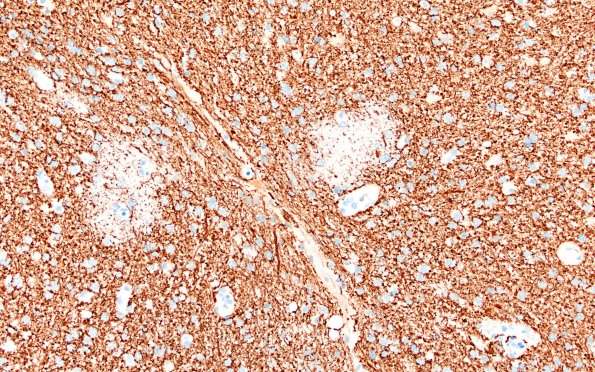
Washington University Experience | VASCULAR | Vasculitis - PACNS | 17H4 Vasculitis (Case 17) NF 20x 3A
17H4-6 There is a wealth of pathology demonstrable with NF immunohistochemistry reflecting small vessel related injury more extensive than established in H&E stains. (H&E)
