Table of Contents
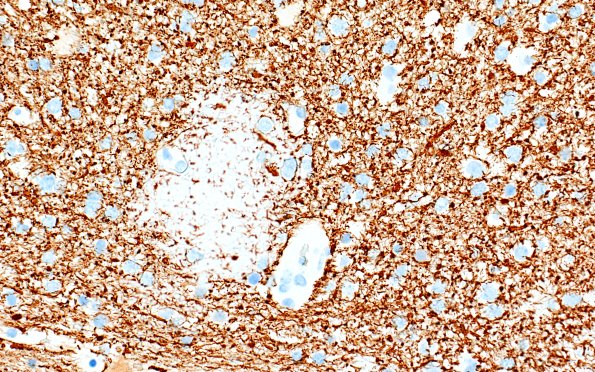
Washington University Experience | VASCULAR | Vasculitis - PACNS | 17H5 Vasculitis (Case 17) NF 40x 4
There is a wealth of pathology demonstrable with NF immunohistochemistry reflecting small vessel related injury more extensive than established in H&E stains. (H&E)
