Table of Contents
« prev
next »
Washington University Experience
|
VASCULAR
|
Vasculitis - PACNS
|
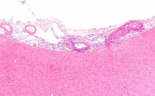
8A3 Granulomatous angiitis (Case 8) H&E 10X 1
8A3-5 In this area a number of vessels appear targeted by the process. (H&E)
Image Info
Camera Maker:
Olympus
Camera Model:
DP74 #1
Shutter Speed:
7/12500 sec
Metering Mode:
Average
Gallery RSS
|
Archive View
|
Login
|
Powered by
Zenphoto