Table of Contents



Washington University Experience | VASCULAR | Vasculitis - PACNS | 9A3 Vasculitis, Granulomatous Angiitis (Case 9)

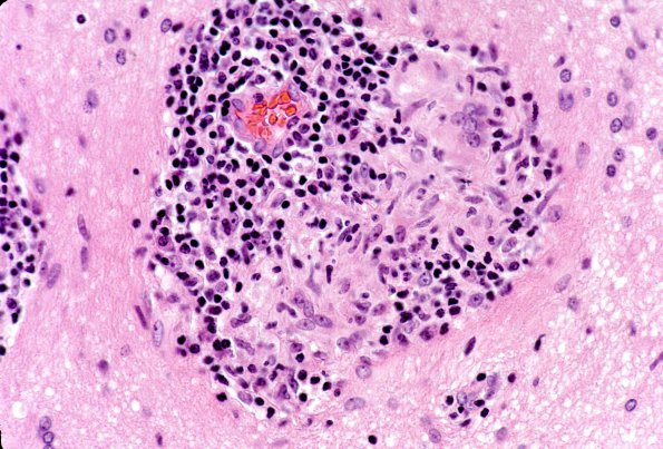
9A3 Vasculitis, Granulomatous Angiitis (Case 9)
Granulomas are focused on the small parenchymal vessels in the cortical gray matter in this specimen. (H&E)


Gallery RSS RSS Feed | Archive View | Login | Powered by Zenphoto