Washington University Experience | Archive | July 2015 (6)

Total matches for July 2015: 126


13A3-Periventricular-Seam-Case-20-N5-occipital-H-E-3.jpg
13A4-Periventricular-Seam-Case-20-N5-occipital-H-E-4.jpg
13A5 Periventricular-Seam-Case-20-N5-occipital-H-E-6.jpg
13A6-Periventricular-Seam-Case-20-N5-occipital-H-E-5.jpg
13C4 Lymphoma, IV, T-NK type (Case 13) H&E 4x
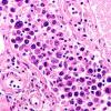
13C6 Lymphoma, IV, T-NK type (Case 13) H&E 60x 2
13F Lymphoma, IV, T-NK type (Case 13) CD56 60x 2
13G Lymphoma, IV, T-NK type (Case 13) GranzymeB 60x 1
13H Lymphoma, IV, T-NK type (Case 13) EBER-ISH 60x
13J Lymphoma, IV, T-NK type (Case 13) EMA 60x
16A2-Periventricular-Seam-occipital-lobe-Case-23-H-E-2.jpg
16A3-Periventricular-Seam-occipital-lobe-Case-23-H-E-3.jpg
16A4-Periventricular-Seam-occipital-lobe-Case-23-H-E-5.jpg
16A5-Periventricular-Seam-occipital-lobe-Case-23-H-E-7.jpg
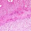
17B2 Telangiectasis BG L6 (Case 17) H&E 1.jpg
17B3 Telangiectasis BG L6 (Case 17) H&E 2.jpg
21B1 WM CJD, confirmed (Case 21) H&E whole mount
21B2 CJD (Western bloT, Case 21) H&E 3.jpg
23B1 CJD (Case 23) H&E whole mount Occipital
23B2 CJD (Western blot, Case 23) Frontal Cortex H&E 1.jpg

Gallery RSS RSS Feed | Archive View | Login | Powered by Zenphoto