Washington University Experience | Archive | November 2019 (4)

Total matches for November 2019: 270


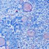
1G3Massive Onion Bulbs (Case 1) Trichrome 3
1G4Massive Onion Bulbs (Case 1) Trichrome 1
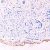
1H1 Massive Onion Bulbs (Case 1) EMA 9
1H2 Massive Onion Bulbs (Case 1) EMA 5
1H3 Massive Onion Bulbs (Case 1) EMA 6A
1H4 Massive Onion Bulbs (Case 1) EMA 3
1H5 Massive Onion Bulbs (Case 1) EMA 2
1I4 Massive Onion Bulbs (Case 1) Ki67 6 (2)
1I5 Massive Onion Bulbs (Case 1) Ki67 3
1I6 Massive Onion Bulbs (Case 1) Ki67 2A
1I7 Massive Onion Bulbs (Case 1) Ki67 1
1J1 Massive Onion Bulbs (Case 1) Plastic 4
1J2 Massive Onion Bulbs (Case 1) Plastic 15
1J3 Massive Onion Bulbs (Case 1) Plastic 14
1J6 Massive Onion Bulbs (Case 1) Plastic 2
2A1 Add cerebellumFat Embolism (Case 2) Gross images _1
2A1 Hypoxia-Ischemia White Matter Adult (Case 2) 1
2A2 Fat Embolism (Case 2) Gross images _6
2A2 Hypoxia-Ischemia White Matter Adult (Case 2) 2
2A3 Hypoxia-Ischemia White Matter Adult (Case 2) 3

Gallery RSS RSS Feed | Archive View | Login | Powered by Zenphoto