Washington University Experience | Archive | January 2020 (8)

Total matches for January 2020: 214


12D1 Cavernoma, multiple, familial (Case 12) N15 H&E  WM
12E1 Cavernoma, multiple, familial (Case 12) N13 H&E WM
12E4 Cavernoma, multiple, familial (Case 12) N13 H&E 4
12E5 Cavernoma, multiple, familial (Case 12) N13 H&E 6
13A1 Cavernomas (Case 13) FLAIR 1 - Copy
13A2 Cavernomas (Case 13) T1 2 - Copy
13A3 Cavernomas (Case 13) T1 1 - Copy
13A4 Cavernomas (Case 13) T2 FL2D AX Hemo 2 - Copy
13A5 Cavernomas (Case 13) T2 FL2D AX Hemo 3 - Copy
13A Telangiectasis (Case 13) copy
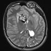
14A1 Cavernous Hemangioma, Pons (Case 14) T1 1 - Copy
14A2 Cavernous Hemangioma, Pons (Case 14) T1 W 1 - Copy
14A3 Cavernous Hemangioma, Pons (Case 14) T2 W 2 - Copy
14B3 Cavernous Hemangioma, Pons (Case 14) Iron WM
14B4 Cavernoma, Pons (Case 14) Hemosid vs hematoid Iron 3
14D Cavernous Hemangioma, Pons (Case 14) SMA
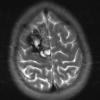
17A1 Cavernous Angioma (Case 17) T2
17A2 Cavernous Angioma (Case 17) T2 2
17B1 Telangiectasis BG L6 (Case 17) H&E  WM copy
18A Cavernoma (Case 18) T2

Gallery RSS RSS Feed | Archive View | Login | Powered by Zenphoto