Washington University Experience | Archive | June 2021 (7)

Total matches for June 2021: 135


26A1Hemorrhage, neonatal, IVH, parenchymal SEGM (Case 26) 1
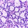
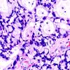
26A2 Pituitary Adenoma, (Case 26) ACTH microadenoma Crooke 40X 2
26A3 Pituitary Adenoma, (Case 26) ACTH microadenoma Crooke 40X
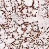
26B1 Pituitaary Adenoma, (Case 26) ACTH microadenoma CAM5.2 Crooke 20X 1
26B2 Pituitaary Adenoma, (Case 26) ACTH microadenoma CAM5.2 Crooke 20X 3
26B3 Pituitaary Adenoma, (Case 26) ACTH microadenoma CAM5.2 Crooke 40X 1
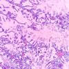
54A1 Metastasis, mucinous lung CA (Case 54) H&E 4X
54A2 Metastasis, mucinous lung CA (Case 54) H&E 10X
54A3 Metastasis, mucinous lung CA (Case 54) H&E 40X
54B Metastasis, mucinous lung CA (Case 54) TTF1 40X
100A1 Metastasis, mucinous lung CA (Case 100) H&E 4X
100A2 Metastasis, mucinous lung CA (Case 100) H&E 10X
100A3 Metastasis, mucinous lung CA (Case 100) H&E 20X
100A4 Metastasis, mucinous lung CA (Case 100) H&E 40X
100B Metastasis, mucinous lung CA (Case 100) TTF1 40X

Gallery RSS RSS Feed | Archive View | Login | Powered by Zenphoto