Washington University Experience | Archive | July 2021 (13)

Total matches for July 2021: 311


12C1 Lymphoma, intravascular (Case 12) N10 2X
12C2 Lymphoma, intravascular (Case 12) N10 10X
12C3 Lymphoma, intravascular (Case 12) N10 10X 2
12C4 Lymphoma, intravascular (Case 12) N10 40X 2
12D1 Lymphoma, intravascular (Case 12) N2A 40X
12D2 Lymphoma, intravascular (Case 12) M4 10X
12D3 Lymphoma, intravascular (Case 12) M4 40X 2
12E Lymphoma, intravascular (Case 12) L1 20X 2
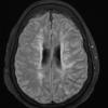
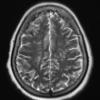
13A1 Lymphoma, IV, T-NK type (Case 13) TIRM 1 - Copy
13A2 Lymphoma, IV, T-NK type (Case 13) T1W 1 - Copy
13A3 Lymphoma, IV, T-NK type (Case 13) T2W 1 - Copy
13B1 Central neurocytoma (Case 13) H&E 10X
13B1 Lymphoma, IV, T-NK type (Case 13) 6 copy
13B2 Central neurocytoma (Case 13) H&E 20X
13B3 Central neurocytoma (Case 13) H&E 40X
13C1 Central neurocytoma (Case 13) SYN 20 1
13C1 Lymphoma, IV, T-NK type (Case 13) H&E whole mount
13C2 Central neurocytoma (Case 13) SYN 40 2
13D Central neurocytoma (Case 13) Neu-N 20X
13E1 Central neurocytoma (Case 13) GFAP 20X 1

Gallery RSS RSS Feed | Archive View | Login | Powered by Zenphoto