Washington University Experience | Archive | November 2021 (17)

Total matches for November 2021: 360


31C Astrocytoma, pilocytic (Case 31) GFAP 2
32A1 Astrocytoma, pilocytic RX (Case 32) T1 W - Copy
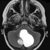
32A2 Astrocytoma, pilocytic RX (Case 32 T2 W - Copy
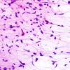
32B1 Astrocytoma, pilocytic RX (Case 32 H&E 1
32B2 Astrocytoma, pilocytic RX (Case 32 H&E 3
32B3 Astrocytoma, pilocytic RX (Case 32 H&E 7
32B4 Astrocytoma, pilocytic RX (Case 32 H&E 13 copy
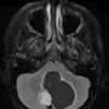
33A Astrocytoma, pilocytic (Case 33) MPRAGE T1 - Copy
33C Astrocytoma, pilocytic (Case 33) KIAA-BRAF
34B Astrocytoma, pilocytic (Case 34) MIB
35A1 Astrocytoma, pilocytic (Case 35) T1 - Copy
35A2 Astrocytoma, pilocytic (Case 35) T1 W 2 - Copy
36A Astrocytoma, pilocytic, atypical (Case 36) T2 - Copy
36C1 Astrocytoma, pilocytic, atypical, Case 36) H&E 4
36C2 Astrocytoma, pilocytic, atypical, (Case 36) H&E 1
36D Astrocytoma, pilocytic, atypical, (Case 36) GFAP 3 copy
37A Astrocytoma, pilocytic (Case 37) H&E 2
37B Astrocytoma, pilocytic (Case 37) MIB-1 2
38A1 Astrocytoma, pilocytic (Case 38) T1 MPRage - Copy
38A2 Astrocytoma, pilocytic (Case 38) T2 W 1 - Copy

Gallery RSS RSS Feed | Archive View | Login | Powered by Zenphoto