Washington University Experience | Archive | February 2022

Total matches for February 2022: 162


1A1 Craniopharyngioma, papillary (Case 1) T1 1 - Copy copy
1A1 Cranio Rx 3 yr prior Case 1) ) Mag images 1 - Copy
1A1 Lymphoma (Case 1) TIRM
1A1 MRI GBM Granular cell variant (Case 1) 2 - Copy
1A2 (Case 1) T1 no C 2
1A2 Craniopharyngioma, papillary (Case 1) T2 Pituitary W 2 - Copy
1A2 Cranio Rx 3 yr prior Case 1) )T1 1 - Copy
1A2 REPEAT MRI GBM, Granular cell variant (Case 1) 1 - Copy
1A3 (Case 1) T1W (2)
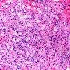
1B2 GBM, Granular cell variant (Case 1) H&E 40X 2
1B3 GBM, Granular cell variant (Case 1) H&E 40X
1B3 Lymphoma, intravascular (Case 1) H&E 40X
1C2 GBM, Granular cell variant (Case 1) GFAP 40X
1C3 Lymphoma, intravascular (Case 1) CD20 40X
1C Craniopharyngioma, H&E (Case 1)  10X
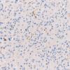
1E1 GBM, Granular cell variant (Case 1) CD163 20X
1E2 GBM, Granular cell variant (Case 1) CD163 40X
1F1 Lymphoma, intravascular (Case 1) Ki67 20x
2A1 (Case 1 -5 years later) FLAIR
2A1 Craniopharyngioma, adamantinomatous (Case 2) T2 W 1 - Copy - Copy

Gallery RSS RSS Feed | Archive View | Login | Powered by Zenphoto