Washington University Experience | Archive | June 2024 (5)

Total matches for June 2024: 442


1F1 Argyrophilic Grain Dz (AGD, Case 1) L23 BAP 10X
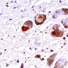
1F1 Pick Disease (Case 1)  PHF1 4X copy
1F2 Argyrophilic Grain Dz (AGD, Case 1) L23 BAP 40X
1F2 Pick Disease (Case 1)  PHF1 40X
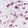
1F11 Pick Disease (Case 1) L19 PHf1 40X
1G5 Pick Disease (Case 1)  Pons LC PHF1 40X
1G6 Pick Disease (Case 1)  Pons LC PHF1 60X
1G8 SYN Pick Disease (Case 1)  Pons LC pSYN 60X copy
1H1 Multiple microadenomas (Case 1) PIT-1 2X
1H2 Multiple microadenomas (Case 1) PIT-1 4X Area A A
1H4 Multiple microadenomas (Case 1) PIT-1 4X Area B A
1H6 Multiple microadenomas (Case 1) PIT-1 4X Area C
1H7 Multiple microadenomas (Case 1) PIT-1 10X Area C
2A1 HS (Case 2) Gross_1
2A1 Liponeurocytoma, cerebellum (Case 2) T1 - Copy
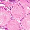
2A1 Meningioma, sclerosing whorling (Case 2) 20X 4
2A1 Pick Dz (Case 2) 1
2A1 Primary Age-Related Tauopathy (PART, Case 2) H&E 2_1
2A2 HS (Case 2) Gross_2
2A2 Liponeurocytoma, cerebellum (Case 2) T1 - Copy

Gallery RSS RSS Feed | Archive View | Login | Powered by Zenphoto