Washington University Experience | Archive | December 2024 (5)

Total matches for December 2024: 268


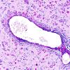
8J1 Granular Cell GBM (Case 8) H&E 20X
8J2 Granular Cell GBM (Case 8) GFAP 20X 4
8J3 Granular Cell GBM (Case 8) CD68 20X
8J4 Granular Cell GBM (Case 8) CD163 20X
8J5 Granular Cell GBM (Case 8) PAS 20X 2
8J6 Granular Cell GBM (Case 8) Ki67 20X 1
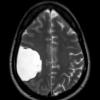
10A1 Cyst, arachnoid (Case 10) CT - Copy
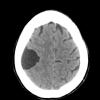
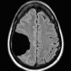
10A1 Ulegyria (Case 10) FLAIR 2
10A2 Cyst, arachnoid (Case 10) FLAIR - Copy
10A2 Ulegyria (Case 10) FLAIR 3
10A3 Cyst, arachnoid (Case 10) T1noC - Copy
10A3 Ulegyria (Case 10) FLAIR 4
10A4 Cyst, arachnoid (Case 10) T2noC A - Copy
10A4 Ulegyria (Case 10) FLAIR 5
10A5 Ulegyria (Case 10) T2W 2
10A6 Ulegyria (Case 10) T2
10B1 Ulegyria (Case 10) Gross _3
10B2 Ulegyria (Case 10) Gross _8
10B3 Ulegyria (Case 10) Gross _9 copy
10B4 Hypoxia-Ischemia, neonatal (ulegyria) (Case 10) Gross_6

Gallery RSS RSS Feed | Archive View | Login | Powered by Zenphoto