Washington University Experience | Archive | May 2025 (18)

Total matches for May 2025: 1667


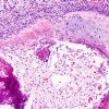
1M4 Teratoma, immature (Case 1) H&E 10X 2
1M5 Teratoma, immature (Case 1) H&E 20X 5
1M6 Teratoma, immature (Case 1) H&E 20X 11
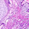
1Q1 Teratoma, immature (Case 1) H&E 4X 2
1Q2 Teratoma, immature (Case 1) H&E 4X 3A
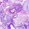
1Q3 Teratoma, immature (Case 1) H&E 10X 4
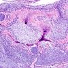
1Q4 Teratoma, immature (Case 1) H&E 20X 3
1Q5 Teratoma, immature (Case 1) H&E 20X 4
1S1 Teratoma, immature (Case 1) H&E 20X 12
1S2 Teratoma, immature (Case 1) H&E 40X 6
2A1 (Case 2)  EM017 - Copy
2A1 Anti-MAG (Case 2) EM012 - Copy
2A1 Axonal Degeneration (Case 2) H&E 3 (2)
2A1 Axonal Degeneration (Case 2) Plastic 1
2A1 Axonal Degeneration (Case 9) EM 050 - Copy
2A1 EM_031 - Copy
2A1 GBS (Case 2) H&E 1
2A1 Growth cone, rat frustrated regeneration 20,000X copy
2A1 Mast Cell (Case 2) EM_005 - Copy
2A1 Mouse #33089 (Case 2) 131AA copy.jpg

Gallery RSS RSS Feed | Archive View | Login | Powered by Zenphoto