Washington University Experience | Archive | May 2025 (47)

Total matches for May 2025: 1667


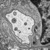
5B4 (Case 5) EM 007 - Copy
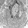
5B4 Axonal Degeneration & Regeneration (Case 5) Plastic 6 copy
5B4 Case 5 Njerve Vicher_054 - Copy
5B4 Two Tone Myelin (Case 5)_009 - Copy
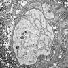
5B5 (Case 5) EM 008 - Copy
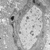
5B5 Axonal Degeneration & Regeneration (Case 5) Plastic 7
5B5 Case 5 Njerve Vicher_055 - Copy
5B6 (Case 5) EM 019 - Copy
5B6 Case 5 Njerve Vicher_063 - Copy
5B7 (Case 5) EM 021 - Copy
5B7 CIDP (Case 5) EM 012 - Copy
5B8 (Case 5) EM 022 - Copy
5B Axonal degeneration (Case 23) EM 054 - Copy
5C1 Axon loss, Unmyelinated, collagen pockets EM 2 - Copy
5C1 Perineuritis (Case 5) SMA 10X 2
5C2 (Case 24) EM 025 - Copy
5C2 Perineuritis (Case 5) SMA 20X
5C3 Perineuritis (Case 5) SMA 10X
5C Artifact H&E 1
5D1 Collagen Pockets, unmyelinated (Case 25) EM 077 - Copy

Gallery RSS RSS Feed | Archive View | Login | Powered by Zenphoto