Washington University Experience | Archive | June 2025

Total matches for June 2025: 357


0A1 Perineuritis - Text
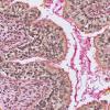
0A2 W18-10990 (Case 0) Nerve_052 - Copy - Copy
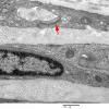
0A3 Perineurium, tight junction (Case 0) EM 005 - Copy copy
0A Germ Cell Neoplasm - Teratoma -Text
1C1 Immature teratoma (Case 1) CAM5.2 2X
1C2A Teratoma, immature (Case 1) CAM5.2 10X
1D1 Goblet cells (Case 1) mucicarmine 20X 3
1D1a GBS, (Case 1) EM 1 SMALL
1D2 Goblet cells (Case 1) mucicarmine 40X 4
1D3 Goblet cells (Case 1) mucicarmine 40X 3
1F1 Teratoma, immature (Case 1) Ki67 2X
1F2 Teratoma, immature (Case 1) Ki67 10X
1F3 Teratoma, immature (Case 1) Ki67 20X
1F4 Teratoma, immature (Case 1) Ki67 10X 2
1G1 Teratoma, immature (Case 1) SYN WM
1G2 Teratoma, immature (Case 1) SYN 10X 2
1G3 Teratoma, immature (Case 1) SYN 20X
1G4 Teratoma, immature (Case 1) SYN 40X
1G5 Teratoma, immature (Case 1) SYN 40X 2
1H1 Teratoma, immature (Case 1) NF 20X 2

Gallery RSS RSS Feed | Archive View | Login | Powered by Zenphoto