Washington University Experience | Archive | June 2025 (15)

Total matches for June 2025: 348


23F4 EMA(g)P0(r)10X_01JS A - Copy
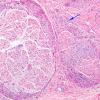
24A1 Neuroma (Case 24) H&E WM
24A2 Neuroma (Case 24) H&E 10X
24A3 Neuroma (Case 24) H&E 20X
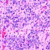
25A1 Nerve Trauma (Case 25) H&E 2X
25A2 Nerve Trauma (Case 25) H&E 10X 2
25A4 Nerve Trauma (Case 25) H&E 10X 3
25A5 Nerve Trauma (Case 25) H&E 10X copy
25A7 Nerve Trauma (Case 25) H&E 20X 1
25A8 Nerve Trauma (Case 25) H&E 40X 1
25F1 Nerve Trauma (Case 25) H&E 2X 2
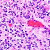
26A1 Ependymoma, Grade III, ZFTA fusion (Case 26) H&E 10X 1
26A2 Ependymoma, Grade III, ZFTA fusion (Case 26) H&E 20X 1
26A3 Ependymoma, Grade III, ZFTA fusion (Case 26) H&E 40X 1
26A4 Ependymoma, Grade III, ZFTA fusion (Case 26) H&E 40X 2
26A5 Ependymoma, Grade III, ZFTA fusion (Case 26) H&E 60X 2
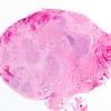
26B1 Ependymoma, Grade III, ZFTA fusion (Case 26) GFAP 10X
26B2 Ependymoma, Grade III, ZFTA fusion (Case 26) GFAP 20X
26B3 Ependymoma, Grade III, ZFTA fusion (Case 26) GFAP 40X
26C1 Ependymoma, Grade III, ZFTA fusion (Case 26) EMA 20X

Gallery RSS RSS Feed | Archive View | Login | Powered by Zenphoto