Washington University Experience | Archive | June 2025 (17)

Total matches for June 2025: 348


72D7 NCL (Case 72) Gross_17
72D8 NCL (Case 72) Gross_18
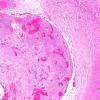
72E1 NCL (Case 72) H&E WM
72E2 NCL (Case 72) H&E 2X
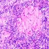
72E3 NCL (Case 72) H&E 10X 2
72E4 NCL (Case 72) H&E 2X 2
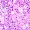
72E5 NCL (Case 72) H&E 20X
102A1 Met, breast AdenoCA & Sq metaplasia (Case 102) H&E 10X 2
102A2 Met, breast AdenoCA & Sq metaplasia (Case 102) H&E 20X
102A3 Met, breast AdenoCA & Sq metaplasia (Case 102) H&E 40
102A4 Met, breast AdenoCA & Sq metaplasia (Case 102) H&E 20X 3
102A5 Met, breast AdenoCA & Sq metaplasia (Case 102) H&E 40X 2
102B1 Met, breast AdenoCA & Sq metaplasia (Case 102) GATA3 20X
102B2 Met, breast AdenoCA & Sq metaplasia (Case 102) GATA3 40X 2
102C1 Met, breast AdenoCA & Sq metaplasia (Case 102) CK7 10A
102C2 Met, breast AdenoCA & Sq metaplasia (Case 102) CK7 20X 2
102C3 Met, breast AdenoCA & Sq metaplasia (Case 102) CK7 40X
102D1 Met, breast AdenoCA & Sq metaplasia (Case 102) CK5-6 10xX
102D2 Met, breast AdenoCA & Sq metaplasia (Case 102) CK5-6 20X 1
102D3 Met, breast AdenoCA & Sq metaplasia (Case 102) CK5-6 20X 2

Gallery RSS RSS Feed | Archive View | Login | Powered by Zenphoto