Washington University Experience | Archive | June 2025 (4)

Total matches for June 2025: 348


2A2 Intracrial Mesenchymal tumor (Case 2) H&E 4X copy
2A3 Intracrial Mesenchymal tumor (Case 2) H&E 10X 4
2A4 Intracrial Mesenchymal tumor (Case 2) H&E 20X 3
2A5 Intracrial Mesenchymal tumor (Case 2) H&E 20X 1
2A6 Intracrial Mesenchymal tumor (Case 2) H&E 20X 2 (2)
2A7 Intracrial Mesenchymal tumor (Case 2) H&E 40X 2
2A8 Intracrial Mesenchymal tumor (Case 2) H&E 60X 2
2A9 Intracrial Mesenchymal tumor (Case 2) H&E 40X copy
2A10 Intracrial Mesenchymal tumor (Case 2) H&E 40X 2 (2)
2B Intracrial Mesenchymal tumor (Case 2) Cyto CKT patchy 40X
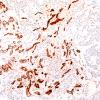
2C1 Intracrial Mesenchymal tumor (Case 2) CD31 2X
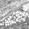
2C1 Kuf's Disease (NCL, Case 2) 4X
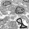
2C1 W20-8226A  (Case 2) EM 034 - Copy
2C2 Intracrial Mesenchymal tumor (Case 2) CD31 10X 1
2C2 W20-8226A  (Case 2) EM _036 - Copy copy
2C3 Intracrial Mesenchymal tumor (Case 2) CD31 10X 3
2D1 Intracrial Mesenchymal tumor (Case 2) Ki67 10X
2D1 W20-8226A  (Case 2) EM 030 - Copy
2D2 Intracrial Mesenchymal tumor (Case 2) Ki67 20X
2D2 W20-8226A  (Case 2) EM 028 - Copy

Gallery RSS RSS Feed | Archive View | Login | Powered by Zenphoto