Washington University Experience | Archive | July 2025

Total matches for July 2025: 644


0A1 Leprosy, Overview - Text
0A1 Leprosy, Overview - Text
0A1 Leprosy, pure neuritic form,  borderline TB type -Text
0A2 Lepromatous Leprosy - Text
0A2 Leprosy, Tuberculoid - Text
0A CMV Neuritis
0A Denticulate ligament - Text
0A Herpes zoster - Text
0A High Grade Astrocytoma with Piloid Features - HGAP
0A Neuronal Ceroid Lipofuscinosis - Text
1A1 CMV Neuritis in AIDS (Case 1) H&E 13 copy
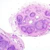
1A1 Denticulate ligament  (Case 1) H&E N10 WM copy
1A1 HGAP (Case 1) FLAIRW - Copy
1A1 HPAP (Case 1) H&E WM A
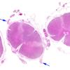
1A1 Leprosy, lepromatous-pluribacillary lepra (Case 1) H&E 14
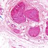
1A1 Leprosy, tuberculoid (Case 1) H&E 11
1A1A Leprosy, pure neuritic form,  borderline TB type (Case 1) , HPS Trichr - Copy (4)A
1A1B Leprosy, pure neuritic form (Case 1) , HPS Trichr - Copy (5)
1A1C Leprosy, pure neuritic form (Case 1) , HPS Trichr - Copy (6)
1A2 Denticulate ligament  (Case 1) H&E N10 2X copy

Gallery RSS RSS Feed | Archive View | Login | Powered by Zenphoto