Washington University Experience | Archive | July 2025 (11)

Total matches for July 2025: 644


2A1 Leprosy, lepromatous (Case 2) Plastic 1
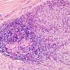
2A1 Leprosy, tuberculoid (Case 2) H&E 4X
2A1 Zoster (Case 2)
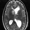
2A2 HGAP (Case 2) T1W - Copy
2A2 Leprosy, lepromatous (Case 2) Plastic 2
2A2 Leprosy, tuberculoid (Case 2) H&E 8
2A2 Zoster DRG (Case 2) H&E 10X 1a
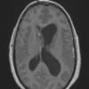
2A3 HGAP (Case 2) T2W - Copy
2A3 Leprosy, lepromatous (Case 2) Plastic 4
2A3 Leprosy, tuberculoid (Case 2) H&E 2
2A3 Zoster DRG (Case 2) H&E 40X 2
2A4 Leprosy, lepromatous (Case 2) Plastic 5
2A4 Leprosy, tuberculoid (Case 2) H&E 9
2A4 Zoster (Case 2) 17
2A5 Leprosy, lepromatous (Case 2) Plastic 7
2A5 Leprosy, tuberculoid (Case 2) H&E 5
2A5 Zoster (Case 2) 19
2A6 Leprosy, tuberculoid (Case 2) H&E 4
2A6 Zoster DRG (Case 2) H&E 2 (2)
2A7 Leprosy, tuberculoid (Case 2) H&E 1A

Gallery RSS RSS Feed | Archive View | Login | Powered by Zenphoto