Washington University Experience | Archive | July 2025 (15)

Total matches for July 2025: 644


2D9B Kuf's Dz (Case 2) Skin 063 - Copy
2E1 CMV (Case 2) Spinal cord 2X copy
2E1 Kuf's Disease (Case 2) _2 (2)
2E2 CMV (Case 2) Spinal cord 40X 2
2E2 Kuf's Disease (Case 2) _1
2E3 Kuf's Disease (NCL, Case 2) _4
2E4 Kuf's Disease (NCL, Case 2) _5 (2)
2E5 CMV (Case 2) Spinal cord 100X 1
2E5 Kuf's Disease (NCL, Case 2) _7
2E HGAP (Case 2) Ki67 20X
2F1 CMV Neuritis in HIV (Case 2) H&E 3
2F2 CMV Neuritis in HIV (Case 2) H&E 2
2F3 CMV Neuritis in HIV (Case 2) H&E 1
2F4 CMV Neuritis in HIV  (Case 2) H&E 5
2F5 HIV CMV root near DRG (Case 2) H&E 1
2F6 CMV root near DRG in HIV (Case 2) H&E 3
2F HGAP (Case 2) NF 40X
2G CMV Neuritis in HIV (Case 2) Anti-CMV
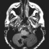
3A1 HGAP (Case 3) FLAIR - Copy
3A1 HIV, Vasculitis (Case 3) H&E 4X 2

Gallery RSS RSS Feed | Archive View | Login | Powered by Zenphoto