Washington University Experience | Archive | July 2025 (16)

Total matches for July 2025: 644


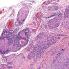
3A1 Leprosy, tuberculoid (Case 3) H&E WM
3A1 Neuronal Ceroid Lipofuscinosis (Case 3) A4
3A1 Zoster, Herpes (Case 3) 1A gross 2 copy
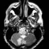
3A2 HGAP (Case 3) T2noC - Copy
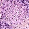
3A2 HIV, Vasculitis (Case 3) H&E 3
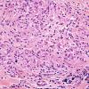
3A2 Leprosy, tuberculoid (Case 3) H&E 4
3A2 Neuronal Ceroid Lipofuscinosis (Case 3) A7
3A2 Zoster (Case 3) 1
3A3 HIV, Vasculitis (Case 3) H&E 60X 1
3A3 Leprosy, tuberculoid (Case 3) H&E 6
3A3 Neuronal Ceroid Lipofuscinosis (Case 3) A11
3A4 HIV, Vasculitis (Case 3) H&E 60X 2
3A4 Leprosy, tuberculoid (Case 3) H&E 5
3A4 Neuronal Ceroid Lipofuscinosis (Case 3) A1
3A5 Leprosy, tuberculoid (Case 3) H&E 1
3A5 Neuronal Ceroid Lipofuscinosis (Case 3) A5
3A6 Leprosy, tuberculoid (Case 3) H&E 7
3A7 Leprosy, tuberculoid (Case 3) H&E 11
3A8 Leprosy, tuberculoid (Case 3) H&E 10
3A9 Leprosy, tuberculoid (Case 3) H&E 9

Gallery RSS RSS Feed | Archive View | Login | Powered by Zenphoto