Washington University Experience | Archive | July 2025 (28)

Total matches for July 2025: 644


23D2 Kidney (Case 23) H&E 1L2 20X
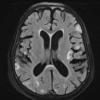
23E Infarct tumor embolus (Case 23) T2 FLAIR - Copy
23F1 Infarct tumor embolus (Case 23) 1_2
23F2 Infarct tumor embolus (Case 23) 1_3 copy
23F3 Infarct tumor embolus (Case 23) 1_5 copy
23F4 Infarct tumor embolus (Case 23) 1_4
23F5 Infarct tumor embolus (Case 23) 1_6
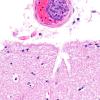
23G1 Infarct tumor embolus (Case 23) N5 H&E 4X copy
23G2 Infarct tumor embolus (Case 23) H&E N5 40X 2
23G3 Infarct tumor embolus (Case 23) H&E N5 40X
23G4 Infarct tumor embolus (Case 23) N5 CK5.6 WM 2X
23G5 Infarct tumor embolus (Case 23) N5 CK5.6 10X
23G6 Infarct tumor embolus (Case 23) N5 CK5.6 40X
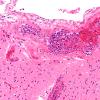
23H1 Infarct tumor embolus (Case 23) H&E N1 2X copy
23H2 Infarct tumor embolus (Case 23) H&E N1 20X
23I1 Infarct tumor embolus (Case 23) H&E N14 WM copy
23I2 Infarct tumor embolus (Case 23) H&E N14 4X copy
23I3 Infarct tumor embolus (Case 23) H&E N14 20X
23I4 Infarct tumor embolus (Case 23) N14 CK5.6 4X 2
23I5 Infarct tumor embolus (Case 23) N14 CK5.6 20X 2

Gallery RSS RSS Feed | Archive View | Login | Powered by Zenphoto