Washington University Experience | Archive | July 2025 (8)

Total matches for July 2025: 644


1C7C  (Case 1) Plastic 5
1C7D  (Case 1) Plastic 5
1D1 HGAP (Case 1) Olig2 20X 2
1D1 Leprosy, tuberculoid (Case 1) Trichrome  1
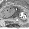
1D1A Leprosy Case 1 EM013 - Copy
1D1B Leprosy Case 1 EM015 - Copy
1D2 HGAP (Case 1) Olig2 40X 2
1D2 Leprosy, tuberculoid (Case 1) Trichrome  20X 1
1D2 Leprosy Case 1 EM045 - Copy
1D3 Leprosy, tuberculoid (Case 1) Trichrome  40X 1
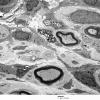
1D3A Leprosy Case 1 EM027 - Copy
1D3B Leprosy Case 1 EM029 - Copy
1D3C Leprosy Case 1 EM030 - Copy
1D4 GBS, (Case 1) EM 2 - Copy A
1D4A Leprosy Case 1 EM025 - Copy
1D4B Leprosy Case 1 EM026 - Copy
1D5A Leprosy Case 1 EM050 - Copy
1D5B Leprosy Case 1 EM051 - Copy
1D6 Leprosy Case 1 EM049 - Copy
1D7 Leprosy Case 1 EM019 - Copy

Gallery RSS RSS Feed | Archive View | Login | Powered by Zenphoto