Washington University Experience | Archive | August 2025 (10)

Total matches for August 2025: 415


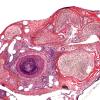
4D5 (Case 4) Nerve_016 - Copy
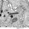
5A1 Endoneurial vessels (Case 5) - Copy copy
5A1 PAN (Case 5) PTAH 4X
5A1 Paraprotein, AxDegen, Demyel, (Case 5) Plastic 10X 1
5A2 PAN (Case 5) PTAH 10X
5A3 PAN (Case 5) PTAH 20X (2)
5A3 Paraprotein, AxDegen, Demyel, (Case 5) Plastic 100X 1
5A3 Paraprotein, AxDegen, Demyel, (Case 5) Plastic 100X 1 copy
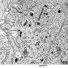
5B1 Endoneurial vessels, Weibel-Palade body (Case 5) - Copy
5B1 Wide space myelin (WSM), OBN (Case 5) EM 037 - Copy
5B2 NEndoneurial vessels, Weibel-Palade body (Case 5) - Copy (2)
5B2 Wide space myelin (WSM), OBN (Case 5) EM 038 - Copy
5B3 Endoneurial vessels, Weibel-Palade body (Case 5) - Copy (2)
5B4 Endoneurial vessels, Weibel-Palade body (Case 5) - Copy (4)
5B5 Endoneurial vessels, Weibel-Palade body (Case 5) - Copy (3)
5B6 Endoneurial vessels, Weibel-Palade body (Case 5) - Copy
5B7 (Case 5) EM024 - Copy
5B8-Case-5-EM023A.jpg
5C1 Paraprotein, AxDegen, Demyel (Case 5) EM 015 - Copy
5C2A Paraprotein, AxDegen, Demyel ( Case 5)  EM 016 - Copy

Gallery RSS RSS Feed | Archive View | Login | Powered by Zenphoto