Washington University Experience | Archive | August 2025 (18)

Total matches for August 2025: 415


11B2 PAN (Case 11) SMA 20X
11B3 PAN (Case 11) SMA 40X
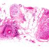
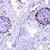
11C1 PAN (Case 11) CD45 4X
11C2 PAN (Case 11) CD45 20X
11C3 PAN (Case 11) CD45 40X
11D1 PAN (Case 11) TRI 4X
11D2 PAN (Case 11) TRI 40X
12A1 Artery, epineurial (Case 12) Plastic 2
12A1 PAN (Case 12) H&E 4X 1
12A2 Artery, epineurial (Case 12) Plastic 1
12A2 PAN (Caase 12) H&E 20X 1
12G1 Fat emboli (Case 12) ORO 10X 2
12G2 Fat emboli (Case 12) ORO 20X 3 copy
12G3 Fat emboli (Case 12) ORO 20X 4
12G4 Fat emboli (Case 12) ORO 20X 1
12G5 Fat emboli (Case 12) ORO 20X 2
12G6 Fat emboli (Case 12) ORO 40X 4
12G7 Fat emboli (Case 12) ORO 40X 2
12G8 Fat emboli (Case 12) ORO 40X 1
12H1 Fat emboli (Case 12) H&E Renal 40X 3 copy

Gallery RSS RSS Feed | Archive View | Login | Powered by Zenphoto