Washington University Experience | Archive | August 2025 (2)

Total matches for August 2025: 415


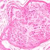
1A4 PAN (Case 1) H&E 20X 2
1A4C HPAP (Case 1) H&E 40X copy
1A5 Amyloid (Case 1) H&E 100X 1
1A5 Anti-MAG Neuropathy (Case 1) H&E 20X 2
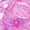
1A5 Vasculitis, P Nodosa (Case 1) H&E 20X 3
1A6 Amyloid (Case 1) H&E 100X 4
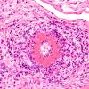
1A6 Vasculitis, P Nodosa (Case 1) H&E 40X 3
1A6 Vasculitis, P Nodosa (Case 1) H&E 40X 4
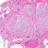
1A Sural Nerve, normal vasculature (Case 1) H&E 10X copy
1B1 Anti-MAG Neuropathy (Case 1) Neg Control 4X 2
1B1 Nerve, normal vasculature (Case 1) SMA 10Xa
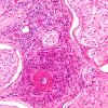
1B1 Vasculitis, P Nodosa (Case 1) PTAH 4X A
1B2 Anti-MAG Neuropathy (Case 1) Neg Control 20X 1
1B2 Nerve, normal vasculature (Case 1) SMA 40X 1
1B2 Vasculitis, P Nodosa (Case 1) PTAH 10X 3
1B3 Anti-MAG Neuropathy (Case 1) Neg Control 40X 2
1B3 Nerve, normal vasculature (Case 1) SMA 20X 2
1B3 Vasculitis, P Nodosa (Case 1) PTAH 20X 1
1B4 Anti-MAG Neuropathy (Case 1) Neg Control 60X 1
1B4 Nerve, normal vasculature (Case 1) SMA 40X 2

Gallery RSS RSS Feed | Archive View | Login | Powered by Zenphoto