Washington University Experience | Archive | August 2025 (20)

Total matches for August 2025: 415


12K6Fat Embolism (Case 12) Lung H&E 20X 1
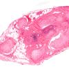
13A1 (Case 13) 10X 1
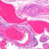
13A1 PAN (Case 13) Circle of Willis
13A2 (Case 13) 40X 1 copy
13B1 PAN (Case 13) WM copy
13B2 PAN (Case 13) H&E 4X 2
13B3 PAN (Case 13) H&E 10X 1
13B4 PAN (Case 13) H&E 20X 3
14A1 (Case 14) Plastic 4X
14A1 PAN (Case 14) H&E 4X
14A2  (Case 14) Plastic 40X 1 copy
14A2 PAN (Case 14) H&E 20X
14A3 (Case 14) Plastic 40X 2
15A1 PAN (Case 15) H&E 10X
15A2 PAN (Case 15) H&E 40X
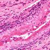
15A Nerve, vasculature (Case 15) SMA 2
15B Nerve, vasculature (Case 15) Ulex 2A+B
16 Polyarteritis nodosa (Case 16)
16A1 (Case 16) Plastic 4X
16A2 (Case 16) Plastic 40X

Gallery RSS RSS Feed | Archive View | Login | Powered by Zenphoto