Washington University Experience | Archive | October 2025

Total matches for October 2025: 435


0A Amyloid Neuropathy - Text
0A Neuropathy due to Neoplastic Infiltration - Text
0A Paraneoplastic Neuropathy - Text
0A Vasculitis-NOS Text
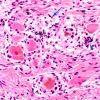
1A1 Lymphoma, intravascular (Case 1) H&E 8
1A4 Aymphoma, intravascular (Case 1) H&E 7
1A5 Lymphoma, intravascular (Case 1) H&E 4
1A Paraneoplastic anti-Hu (Case 1) gross 1
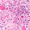
1B1 Lymphoma, intravascular (Case 1) CD45 2
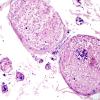
1B1 Paraneoplastic (Case 1) DRG H&E 4X 1
1B2 Paraneoplastic (Case 1) DRG H&E 4X 2
1B3 Lymphoma, iv (Case 1) LCA 4
1B4 Paraneoplastic (Case 1) DRG 40X
1B5 Paraneoplastic (Case 1) DRG H&E 40X copy
1B6 Paraneoplastic (Case 1) DR H&E 20X 2
1C1 Amyloid (Case 1) Thio-S Image_01 - Copy
1C1 Lymphoma, intravascular (Case 1) Cytokeratin 2
1C1 Paraneoplastic (Case 1) HC 2XDRG H&E 60X 3
1C2 Amyloid (Case 1) Thio-S Image_03 - Copy
1C2 Lymphoma, intravascular (Case 1) Cytokeratin 1

Gallery RSS RSS Feed | Archive View | Login | Powered by Zenphoto