Washington University Experience | Archive | October 2025 (10)

Total matches for October 2025: 435


6A5 Neurolymphomatosis (Case 6) HPS 6
6A6 Neurolymphomatosis (Case 6) H&E 3
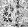
6C1 Lymphoma, sural infiltration (Case 6) EM 007 - Copy
6C2 Lymphoma, sural infiltration (Case 6) EM 005 - Copy
6C3 Lymphoma, sural infiltration (Case 6) EM 014 - Copy
6C4 Lymphoma, sural infiltration (Case 6) EM 012 - Copy
6C5 Lymphoma, sural infiltration (Case 6) EM 011 - Copy
6L (Case 6) Gross
7A1 Amyloid neuropathy (Case 7) 20X 1
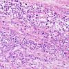
7A1 Paraneoplastic (Case 7) LFB-H&E 10X 1
7A2 Amyloid neuropathy (Case 7) 60X 1
7A2 Paraneoplastic  (Case 7) LFB-H&E 40X 3
7A3 Amyloid neuropathy (Case 7) 40X 1
7A3 Paraneoplastic  (Case 7)  LFB-H&E 40X 1
7B1 Amyloid neuropathy (Case 7) Thio-S 9 - Copy
7B1 Paraneoplastic (Case 7) LFB-H&E 10X
7B2 Amyloid neuropathy (Case 7) Thio-S 2 - Copy
7B2 Paraneoplastic (Case 7) LFB-H&E 40X
7B3 Amyloid neuropathy (Case 7) Thio-S 6 - Copy
7B4 Amyloid neuropathy (Case 7) Thio-S 4 - Copy

Gallery RSS RSS Feed | Archive View | Login | Powered by Zenphoto