Washington University Experience | Archive | October 2025 (16)

Total matches for October 2025: 435


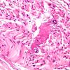
13A1 Vasculitis (Case 13) H&E 1
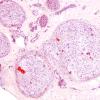
13A2 Amyloid Neuropathy H&E (Case 13) 40X 1
13A2 Vasculitis (Case 13) H&E 5
13A3 Amyloid Neuropathy H&E (Case 13) 40X 2
13A3 Vasculitis (Case 13) H&E 4
13A4 Vasculitis (Case 13) H&E 3
13B1 Amyloid Neuropathy TRI (Case 13) 20X 1
13B2 Amyloid Neuropathy TRI (Case 13) 40X 1
13C1 Amyloid Neuropathy CR (Case 13) 20X 1 nonpol
13C2 Amyloid (Case 13) Congo Red 3
13C3 Amyloid (Case 13 Congo Red 7C
13C4 Amyloid (Case 13) Congo Red 7A
13C5 Amyloid (Case 13) Congo Red 6A
13C6 Amyloid (Case 13) Congo Red 6C
13D1 Amyloid Neuropathy (Case 13) Plastic 10X 1
13D2 Amyloid Neuropathy (Case 13) Plastic 40X 1
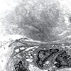
13E1 BAmyloid Neuropathy (Case 13) 7K EM 2 - Copy
13E2 Amyloid Neuropathy (Case 13) 14K EM - Copy
13E3 Amyloid Neuropathy (Case 13) 43K EM - Copy
13E4 Amyloid Neuropathy (Case 13) 8K EM 2 - Copy

Gallery RSS RSS Feed | Archive View | Login | Powered by Zenphoto