Washington University Experience | Archive | October 2025 (4)

Total matches for October 2025: 435


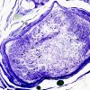
2A4 Paraneoplastic NP (Oat cell CA lung, Case 2 radial nerve) Plastic 100X 2
2B1 Amyloid Neuropathy (Case 2) Trichrome 6
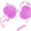
2B1 Lymphoma (Case 2) WM
2B2 Amyloid Neuropathy (Case 2) Trichrome 4
2C1 Amyloid Neuropathy (Case 2) Thioflavin S 1 - Copy
2C1 Lymphoma (Case 2) C H&E WM
2C2 Amyloid Neuropathy (Case 2) Thioflavin S 4 - Copy
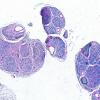
2C2 Lymphoma (Case 2) H&E3 2X 2
2C3 Lymphoma (Case 2) H&E 10X 2
2D1 Lymphoma (Case 2) LFB-PAS 2X 2A
2D1A Amyloid Neuropathy (Case 2) Congo Red New Filters 3B
2D1B Amyloid Neuropathy (Case 2) Congo Red New Filters 3B pol
2D2 Lymphoma (Case 2) LFB-PAS 10X 2
2D2A Amyloid Neuropathy (Case 2) Congo Red New Filters 4A
2D2B Amyloid Neuropathy (Case 2) Congo Red New Filters 5A Pol
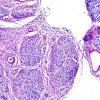
2D3 Lymphoma (Case 2) FB-PAS 4X DR 3
2D4 Lymphoma (Case 2) LFB-PAS 10X DR 2
2E1 Amyloid Neuropathy (Case 2) Plastic 2
2E1 Lymphoma (Case 2) LFB-PAS 10X 3A
2E2 Amyloid Neuropathy (Case 2) Plastic 1

Gallery RSS RSS Feed | Archive View | Login | Powered by Zenphoto