Washington University Experience | Archive | October 2025 (7)

Total matches for October 2025: 435


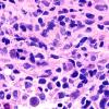
4A4 Lymphomatoid Granulomatosis (Case 4) H&E 7
4A4 Paraneoplastic (Case 4) H&E 40X 2
4A6 Lyg (Case 4) H&E 100X 3
4A7 Lyg (Case 4 H&E 100X 5
4A8 Lyg (Case 4) H&E 40X 1
4A9 Lyg (Case 4) H&E 100X 1
4A11 Lyg (Case 4) H&E 100X 4 copy
4A12 Lyg (Case 4) H&E 100X 6 copy
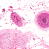
4B1 Amyloid neuropathy (Case 4) Thio-S 2 - Copy
4B2 Amyloid neuropathy (Case 4) Thio-S 14 - Copy
4B3 Amyloid neuropathy (Case 4) Thio-S 13 - Copy
4B4 Amyloid neuropathy (Case 4) Thio-S 8 - Copy
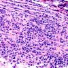
5A1 Demyelination, inflammatory (Case 5) H&E 10X
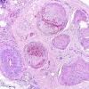
5A1 Lymphoma, intravascular (AANP 1990, Case 2) H&E X3.7
5A1 Vasculitis (Case 5) H&E 3
5A2 Demyelination, inflammatory (Case 5) H&E 60X 2A
5A2 Lymphoma, intravascular (AANP 1990, Case 2) H&E 2
5A2 Vasculitis (Case 5) H&E 1
5A3 (AANP DSS 1990 Case 2) H&E
5A3 Demyelination, inflammatory (Case 5) H&E 40X

Gallery RSS RSS Feed | Archive View | Login | Powered by Zenphoto