Washington University Experience | Archive | November 2025 (2)

Total matches for November 2025: 635


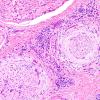
1A2 Diabetes, DLRPN (Case 1) H&E 8
1A2 Diabetic NP (Case 1) H&E 40X
1A2 Disulfiram (Case 1) Plastic 40X 2
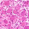
1A2 Fabry Dz (Case 1) 20X 4 copy
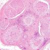
1A2 Krabbe Dz Nerve (Case 1) 40X 1
1A2 Misonidazole AD (Case 1) Plastic 100X 5
1A2 SMG DM (BK13-7 112M H&E 40X 1 copy
1A2A Diabetes, DLRPN (Case 1) H&E 7
1A2B Diabetes, DLRPN (Case 1) H&E 6
1A3 Amiodarone (Case 1) Plastic 2
1A3 Diabetes, DLRPN (Case 1) H&E 9
1A3 Disulfiram (Case 1) Plastic 1
1A3 Fabry Dz (Case 1) 20X 3
1A3 Krabbe Dz Nerve (Case 1) 40X 2
1A3 Misonidazole Axonal degeneration Case 1) Plastic 4
1A3 SMG DM (BK13-7 112M H&E 60X 1
1A4 Amiodarone (Case 1) Plastic 13
1A4 Chloroquine NP (Case 1) Plastic 3
1A4 Diabetes, DLRPN (Case 1) 20X H&E 13
1A4 Fabry Dz (Case 1) 60X

Gallery RSS RSS Feed | Archive View | Login | Powered by Zenphoto