Washington University Experience | Archive | November 2025 (21)

Total matches for November 2025: 635


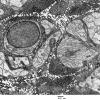
6C5 (Case 6) EM013 - Copy
6C6 (Case 6) EM007 - Copy
6C7 (Case 6) EM002 - Copy
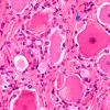
7A1 DRG, Human Diabetic (Case 7) H&E 4X 4
7A1 Human DBH SMG 1
7A2 DRG, Human Diabetic (Case 7) H&E 40X 3 copy
7A2 Human DBH SMG 2
7A3 DRG, Human Diabetic (Case 7) H&E 60X 3 copy
7A3-Human-SMG-DM-DBH-1.jpg
7A4 DRG, Human Diabetic (Case 7) H&E 2
7A End stage nerve (Case 7) H&E 40X
7B1 DRG, Human Diabetic (Case 7) Bielschowsky silver stain 4X
7B2 DRG, Human Diabetic (Case 7) Bielschowsky silver stain 2 copy
7B3 DRG, Human Diabetic (Case 7) Bielschowsky silver stain
7B3 DRG, Human Diabetic (Case 7) Bielschowsky silver stain 40X
7C1 Axonal Loss, myelinated, near complete (Case 7) EM 020 - Copy
7C1 DRG, Human Diabetic (Case 7) NF 40X
7C2 Axonal Loss, myelinated, near complete (Case 7) EM 030 - Copy
7C2 DRG, Human Diabetic (Case 7) NF 60X 2 copy
7C3 Axonal Loss, myelinated, near complete (Case 7) EM 026 - Copy

Gallery RSS RSS Feed | Archive View | Login | Powered by Zenphoto