Washington University Experience | Archive | December 2025 (23)

Total matches for December 2025: 531


14A2 CMT 1 (Case 14) Plastic 10
14A3 MT 1 (Case 14) Plastic 2
14A5 Fig 19-4 CMT-1 (Case 14) Plastic 1
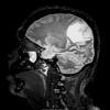
15A1 Meningioma, bony metaplasia (Case 15) T1W - Copy
15A1 Onion-bulb NP (Case 15) H&E 2
15A2 Meningioma, bony metaplasia (Case 15) T1W Axial - Copy
15A3 Meningioma, bony metaplasia (Case 15) T2NoC - Copy
15B1 Onion Bulb Neuropathy (Case 15) Plastic 1
15B2 Onion Bulb Neuropathy (Case 15) Plastic 2
15B4 Onion Bulb Neuropathy (Case 15) Plastic 3
16A1 CMT 1 HMSN I (Case 16) Plastic 1A
16A2 CMT 1 HMSN I (Case 16) Plastic 2
16A4 Fig 19-4 CMT 1 HMSN I (Case 16) Plastic 4
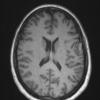
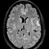
17A1 Abscess B (Case 17) T2 FLAIR withC 2 - Copy
17A1 CMT 1 HMSN I (Case 17) Plastic 4
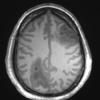
17A1 Meningioma, lipidized (Case 17) T2 FLAIR - Copy
17A2 Abscess B (Case 17) T2 FLAIR WithC - Copy
17A2 CMT 1 HMSN I (Case 17) Plastic 1
17A2 Meningioma, lipidized (Case 17) T1noC - Copy
17A3 Abscess B (Case 17) T1noC axial - Copy

Gallery RSS RSS Feed | Archive View | Login | Powered by Zenphoto