Washington University Experience | Archive | December 2025 (24)

Total matches for December 2025: 531


17A3 CMT 1 HMSN I (Case 17) Plastic 2
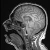
17A3 Meningioma, lipidized (Case 17) T1W - Copy
17A4 Abscess B (Case 17) T1noC 5 - Copy (2)
17A4 CMT 1 HMSN I (Case 17) Plastic 3
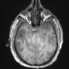
17A4 Meningioma, lipidized (Case 17) T2 NoC - Copy
17A5 Abscess B (Case 17) T1noC - Copy copy
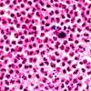
17B1 Meningioma, lipidized (Case 17) 40X 5
17B1Abscess (Case 17)_16
17B2 Abscess (Case 17)_5
17B2 Meningioma, lipidized (Case 17) CEA Poly 40X 1
17B3 Abscess (Case 17)_8 copy
17B4 Abscess (Case 17)_1
17B5 Abscess (Case 17)_2 copy
17B6 Abscess (Case 17)_11 copy
17C1 Abscess (Case 17) N12 H&E WM 4000
17C2 Abscess A (Case 17) N12 H&E 2XA
17C3 Abscess (Case 17) N12 H&E 4X copy
17C4 Abscess (Case 17) N12 H&E 40X 2
17C5 Abscess (Case 17) N12 Gram 100X 3 copy
17C6 Abscess (Case 17) N12 H&E 20X

Gallery RSS RSS Feed | Archive View | Login | Powered by Zenphoto