Washington University Experience | Archive | December 2025 (4)

Total matches for December 2025: 531


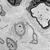
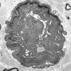
1B10 HNPP (Case 1) EM 1 - Copy
1B11 HNPP (Case 1) 020 - Copy
1B12 HNPP (Case 1) 014 - Copy
1B13 HNPP (Case 1) E_006 - Copy
1B14 HNPP (Case 1) 009 - Copy
1B15 HNPP (Case 1) 040 - Copy
1B16 HNPP (Case 1) 007 - Copy
1B17 (Case 1) 004 - Copy
1B18 HNPP (Case 1) 006 - Copy
1B19-Case-1-HNPP_015-Copy.jpg
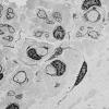
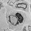
1C1 (Case 1) EM 004 - Copy copy
1C1 CMT 1A (PMP22 dup Case 1) S100 20X
1C2 (Case 1) EM 005 - Copy
1C2 CMT 1A (PMP22 dup Case 1) S100 40X
1C3 (Case 1) EM 003 - Copy
1C4 (Case 1) EM 001 - Copy
1C5 (Case 1) EM 006 - Copy
1C6 (Case 1) EM 012 - Copy
1C7 (Case 1) EM 014 - Copy
1C8 (Case 1) EM 008 - Copy

Gallery RSS RSS Feed | Archive View | Login | Powered by Zenphoto