Washington University Experience | Archive | January 2026

Total matches for January 2026: 419


0A Pencil Fibers of Wilson - Text
1 Choroid Plexus, Normal (Case 1)
1A0A Tela choroidea (2009-1923) H&E 1
1A0B Tela choroidea (2009-1923) H&E 3
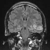
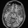
1A1 BCOR-BCORL1 Fusion (Case 1) T2 FLAIR - Copy
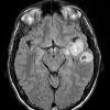
1A1 Focal Onion Bulbs (Case 1) T2 TIRM copy - Copy
1A1 Hippocampus, normal (Case 1) H&E whole mount
1A1 Pencil fibers of Wilson (Case 1) H&E 3
1A1 Pons, normal (Case 1) H&E whole mount
1A2 BCOR-BCORL1 Fusion (Case 1) T2 FLAIR SZ - Copy
1A2 Focal Onion Bulbs (Case 1) T2 TIRM 4 - Copy
1A2 Hippocampus, normal (Case 1) LFB-PAS 1 whole mount
1A2 Pencil fibers of Wilson (Case 1) H&E 1
1A2 Pons, normal (Case 1A) H&E 2
1A3 BCOR-BCORL1 Fusion () MPRAGE - Copy
1A3 Focal Onion Bulbs (Case 1) T2 TIRM 2 copy - Copy
1A3 Hippocampus, normal (Case 1) Biels whole mount
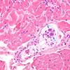
1A3 Muscle Spindle (Case 3) H&E copy
1A3 Pons, normal (Case 1A) H&E 1
1A4 BCOR-BCORL1 Fusion (Case 1) T1W - Copy

Gallery RSS RSS Feed | Archive View | Login | Powered by Zenphoto