Washington University Experience | Archive | January 2026 (10)

Total matches for January 2026: 419


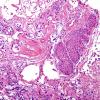
5B1 Pituitary gland normal SYN whole mount
5B2 Pituitary gland normal SYN 1 (2)
5B3 Pituitary gland normal SYN 5 copy
5C2 Pituitary stalk, squamous islands H&E 3
5C3 Pituitary stalk, squamous islands H&E 1
5C4 Pituitary stalk, squamous islands H&E 2
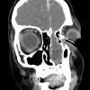
6A1 CT (Case 6) 5 copy
6A1 Normal Cerebellum, Myelin Basic Protein (UPenn Control Slide)  2
6A1 Pituitary, Normal Gland H&E 1 copy
6A1 Root entry zone (Case 6) N8 Solochrome cyanin WM
6A2 CT (Case 6) 6
6A2 Normal Cerebellum, Myelin Basic Protein (UPenn Control Slide)  1
6A2 Pituitary, Normal Gland H&E 2
6A3 T1 THIN NoC (Case 6)
6A4 T2 Haste CORNoC (Case 6)
6B1 Normal Cerebellum, NF (UPenn Control Slide) 2
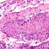
6B1 Pituitary, basophil invasion H&E WM
6B1 Root entry zone (Case 6) N8 Po WM
6B1Nasal glioma (Case 6) A3 H&E WM
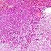
6B2 Nasal glioma (Case 6) H&E 2X

Gallery RSS RSS Feed | Archive View | Login | Powered by Zenphoto