Washington University Experience | Archive | January 2026 (12)

Total matches for January 2026: 419


7B0A DRG, normal (S07-34406) NFil 3
7B0B DRG, normal (S07-34406) NFil 2
7C1 Pituitary, intermed lobe African Wild Dog (STL Zoo) H&E 4
7C2 Pituitary, intermed lobe African Wild Dog (STL Zoo) H&E 3
7C3 Pituitary, intermed lobe African Wild Dog (STL Zoo) H&E 1
7C4 Pituitary, intermed lobe African Wild Dog (STL Zoo) H&E 2
7D Pituitary, pars intermedia, colloid cysts H&E 1
11A1 Occipital Seam, AD & DLBD (Case 18) H&E WM
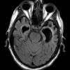
11A1 Pick Dz (Case 11) T2FLAIR - Copy - Copy
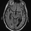
11A2 Pick Dz (Case 11) T2FLAIR 2 - Copy - Copy
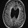
11A3 Pick Dz (Case 11) T2FLAIR 3 - Copy - Copy
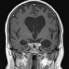
11A4 Pick Dz (Case 11) T1 post Contrast 2 - Copy
11B1 Pick Dz & ADNC (Case 11)_1
11B2 Pick Dz & ADNC (Case 11)_2
11B3 Pick Dz & ADNC (Case 11)_3
11B4 Pick Dz & ADNC (Case 11)_4
11B5 Pick Dz & ADNC (Case 11)_5
11B6 Pick Dz & ADNC (Case 11)_7
11B7 Pick Dz & ADNC (Case 11)_9
11B8 Pick Dz & ADNC (Case 11)_14

Gallery RSS RSS Feed | Archive View | Login | Powered by Zenphoto