Washington University Experience | Archive | January 2026 (13)

Total matches for January 2026: 419


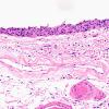
11C1 Pick Dz & ADNC (Case 11) N1 H&E 4X
11C2 Pick Dz & ADNC (Case 11) N1 H&E 20X 2
11C3 Pick Dz & ADNC (Case 11) N1 H&E 10X
11C4 Pick Dz (Case 11) N14 H&E 20X
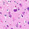
11C5 Pick Dz & ADNC (Case 11) N1 H&E 20X
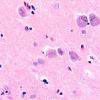
11C6 Pick Dz & ADNC (Case 11) N1 H&E 40X 1
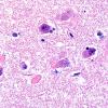
11C7 Pick Dz & ADNC (Case 11) N1 H&E 40X 2
11D1 Pick Dz (Case 11) N3
11D2 Pick Dz & ADNC (Case 11) N3 H&E 60X 2 copy
11D3 Pick Dz & ADNC (Case 11) N3 H&E 60X 4 copy copy
11D4 Pick Dz & ADNC (Case 11) H&E 60X
11D5 Pick Dz & ADNC (Case 11) N3 H&E 60X 1
11D6 Pick Dz (Case 11) N3 TDP43 60X copy
11D7 Pick Dz & ADNC (Case 11) N3 H&E 40X 1
11D8 Pick Dz & ADNC (Case 11) N3 H&E 60X copy
11D9 Pick Dz (Case 11) N3 TDP43 100X 3 copy
11D10 Pick Dz (Case 11) N3 40X
11E1Pick Dz & ADNC (Case 11) BAmyloid 2X
11E2 Pick Dz & ADNC (Case 11) BAmyloid 4X
11E3 Pick Dz & ADNC (Case 11) N3 BAmyloid 40X

Gallery RSS RSS Feed | Archive View | Login | Powered by Zenphoto