Washington University Experience | Archive | January 2026 (16)

Total matches for January 2026: 419


16A2 DMG (Case 16) T1NoC AX - Copy
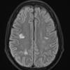
16A3 DMG (Case 16) T2 w - Copy
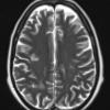
16A4 DMG (Case 16) T2 NOC - Copy
16B1 DMG (Case 16) H&E 10X
16B2 DMG (Case 16) H&E 20X
16B3 DMG (Case 16) H&E 40X 1
16B4 DMG (Case 16) H&E 40X 3
16C DMG (Case 16) NF 20X
16D DMG (Case 16) GFAP 40X 1
16E DMG (Case 16) Olig2 20X
16F DMG (Case 16) H3K27M 40X
16G DMG (Case 16) H3K27MES3 40X 1
16H DMG (Case 16) Ki67 20X 1
18A1 Lymphoma, intravascular FLAIR - Copy
18A2 Lymphoma, intravascular T2 noC - Copy
18B1 Lymphoma Gross_6_1
18B2 Lymphoma Gross_6_2
18B3 Lymphoma Gross_6
18B4 Lymphoma Gross_1
18B5 Lymphoma Gross_3

Gallery RSS RSS Feed | Archive View | Login | Powered by Zenphoto