Washington University Experience | Archive | January 2026 (17)

Total matches for January 2026: 419


18C1 Lymphoma, intravascular N4 (Case 18) WM copy
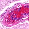
18C2 Lymphoma, intravascular N4 (Case 18) 4X
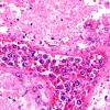
18C3 Lymphoma, intravascular N4 (Case 18) 40X
18C4 Lymphoma, intravascular N4 (Case 18) 20X
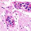
18C5A Lymphoma, intravascular N4 (Case 18) H&E 20X 1
18C5B Lymphoma, intravascular N4 (Case 18) CD20 10X 2
18C5C Lymphoma, intravascular N4 (Case 18) CD3 20X 1
18C5D Lymphoma, intravascular N4 (Case 18) CD30 20X 1
18C5E Lymphoma, intravascular N4 (Case 18) EBER 20X 1
18C5F Lymphoma, intravascular N4 (Case 18) Ki67 20X 1
18D1 Lymphoma, intravascular N4 (Case 18) 10X
18D2 Lymphoma, intravascular N4 (Case 18) 40X 2
18D3 Lymphoma, intravascular N4 (Case 18) CD20 20X 2
18D4 Lymphoma, intravascular N4 (Case 18) CD3 20X 2
18D5Lymphoma, intravascular N4 (Case 18) Ki67 20X 2
18E1A Lymphoma, intravascular N16 (Case 18)
18E1B Lymphoma, intravascular N16 (Case 18)  4X
18E1C Lymphoma, intravascular N16 (Case 18)  10X
18E1D Lymphoma, intravascular N16 (Case 18)  40X
18E1E Lymphoma, intravascular N16 (Case 18)  60X

Gallery RSS RSS Feed | Archive View | Login | Powered by Zenphoto