Washington University Experience | Archive | January 2026 (2)

Total matches for January 2026: 419


1A4A Muscle spindle (Case 4) H&E 3
1A4B Muscle spindle (Case 4) H&E 1
1A5 BCOR-BCORL1 Fusion (Case 1) T2 NoC - Copy
1A6A Normal Muscle, spindle H&E 1
1A6B Normal Muscle, spindle H&E 2
1A Pituitary, normal H&E whole mount copy
1B1 IMG_3260 - Copy
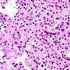
1B1A BCOR-BCORL1 Fusion (Case 1) A4 H&E 20X
1B1B BCOR-BCORL1 Fusion (Case 1) A4 H&E 40X
1B1E BCOR-BCORL1 Fusion (Case 1) C3 40X 3
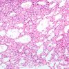
1B2 Hippocampus, normal (Case 1) LFB-PAS 4X
1B2 IMG_3251 - Copy
1B2A BCOR-BCORL1 Fusion (Case 1) A4 H&E 10X 2
1B2B BCOR-BCORL1 Fusion (Case 1) A4 H&E 20X 2
1B2C BCOR-BCORL1 Fusion (Case 1) A4 H&E 40X 2
1B3 BCOR-BCORL1 Fusion (Case 1) A12 10X
1B3 IMG_3261 - Copy copy
1B Pituitary gland normal
1B Pons, normal (Case 1) LFB-PAS whole mount
1C1A BCOR-BCORL1 Fusion (Case 1) C3 10X 2

Gallery RSS RSS Feed | Archive View | Login | Powered by Zenphoto